The Silent Saboteur: Unraveling the Mystery of Plaque and Its Impact on Your Oral Health

When it comes to maintaining a healthy smile, most of us are familiar with the basics: regular brushing, flossing, and dental check-ups. But have you ever stopped to wonder why these routines are so crucial? The answer lies in the elusive enemy known as “plaque.” In this blog post, we will explore what plaque is, how it develops, and the havoc it can wreak on your teeth and mouth if left unchecked.

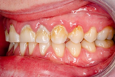
What is Plaque?

Plaque is a soft, sticky film of bacteria that forms on the teeth and along the gumline. These bacteria are ever-present in our mouths, and they feed on the sugars and starches from the foods we consume. As they metabolize these sugars, they produce acids that can erode the protective enamel of our teeth. The result? A breeding ground for dental problems.

How Does Plaque Develop?

Plaque formation is a continuous process. Here’s how it typically unfolds:

Dental Hygiene: When you consume food or drink, tiny food particles and sugars are left behind on your teeth.

Bacterial Feast: Oral bacteria, always on the hunt for a meal, feast on these remnants, breaking down sugars into acids.

Plaque Formation: As the bacteria consume sugars, they produce acid waste, which combines with saliva, forming a sticky, colorless film on your teeth – this is the notorious plaque.

Hardening: Over time, if plaque is not removed through regular oral hygiene practices, it hardens into a substance called tartar or calculus. Tartar is more challenging to remove and provides an even better environment for harmful bacteria to thrive.

What Can Plaque Do to Your Teeth and Mouth?

Plaque is not just an innocent bystander; it is a saboteur that can cause numerous dental problems if left unchecked:

Tooth Decay (Cavities): Plaque’s acid production can lead to the demineralization of tooth enamel, which, over time, causes cavities. These cavities can be painful and require dental fillings to repair the damage.

Gum Disease (Gingivitis and Periodontitis): Plaque doesn’t just affect your teeth; it can also wreak havoc on your gums. When plaque accumulates along the gumline, it can cause inflammation and bleeding, leading to gingivitis. If left untreated, gingivitis can progress into periodontitis, a severe gum disease that can result in tooth loss.

Bad Breath (Halitosis): The bacteria in plaque can produce foul-smelling gases, leading to chronic bad breath. This unpleasant condition can have a negative impact on your self-esteem and social interactions.

Tooth Sensitivity: As plaque eats away at the tooth enamel, it can expose the dentin, leading to tooth sensitivity. This can make eating and drinking hot or cold items uncomfortable.

Tooth Discoloration: Plaque buildup can cause tooth discoloration, robbing you of your bright, white smile.

Dental Work Complications: If you have dental restorations such as crowns, bridges, or braces, plaque can accumulate around these structures, increasing the risk of complications and the need for repairs.

The Importance of Preventing Plaque Buildup

Now that you understand the potential consequences of plaque accumulation, it’s clear why taking preventive measures is so crucial. Here’s how you can keep plaque at bay:

Oral Hygiene: Regularly brushing your teeth at least twice a day and flossing daily helps remove plaque before it hardens into tartar.

Dental Check-ups: Visit your dentist for regular check-ups and professional cleanings. These visits can help identify and address any plaque or tartar buildup before it causes significant damage.

Balanced Diet: Limit your consumption of sugary and starchy foods. These substances fuel the bacteria responsible for plaque formation.

Use of Fluoride: Incorporate fluoride toothpaste and mouthwash into your oral hygiene routine. Fluoride helps strengthen tooth enamel, making it more resistant to acid attacks.

Quit Smoking: Smoking can exacerbate the effects of plaque on your teeth and gums. Quitting smoking is a significant step toward better oral health.

Consider Dental Sealants: For those at high risk of cavities, dental sealants can provide an additional layer of protection against plaque buildup on molars and premolars.

Plaque may be a silent saboteur, but with the right knowledge and a vigilant oral care routine, you can defend your teeth and gums against its harmful effects. Remember that prevention is the key to a healthy smile, and it starts with keeping plaque under control. So, keep brushing, flossing, and visiting your dentist regularly to ensure that plaque doesn’t stand a chance in your mouth. Your teeth and overall well-being will thank you for it. Contact Arnold Dentistry for all of your dental needs!

More Posts

Ready to Discover Your Best Smile?

Schedule an appointment with our Brandon, FL, team today!